Já se perguntou como os médicos conseguem ver dentro do seu cérebro sem cirurgia? A resposta pode estar na ressonância magnética do crânio! Estima-se que mais de 40 milhões de exames de ressonância magnética são realizados anualmente só nos Estados Unidos. Neste artigo, você vai descobrir como esse exame funciona e por que ele é tão importante para a sua saúde.
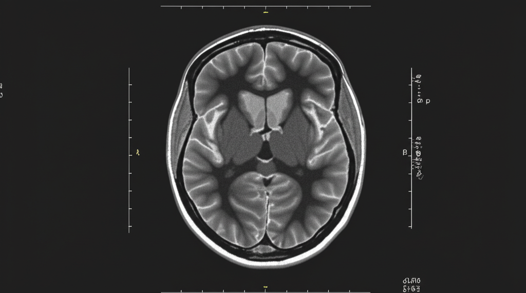
A ressonância magnética (RM) do crânio é um exame de imagem avançado que utiliza ondas de rádio e um campo magnético forte para criar imagens detalhadas do seu cérebro, sem usar radiação ionizante. É um exame não invasivo e muito útil para diagnosticar e monitorar diversas condições neurológicas. Pense nisso como uma fotografia super detalhada do seu cérebro em ação!
A ressonância magnética do crânio se destaca por sua capacidade de criar imagens detalhadas do cérebro e estruturas adjacentes. Essa técnica permite aos médicos visualizar o cérebro em diferentes ângulos. Com essas imagens, é possível identificar uma variedade de condições, desde tumores e aneurismas até esclerose múltipla e os efeitos de um acidente vascular cerebral. É como ter um mapa detalhado do seu cérebro!

Ilustração detalhada sobre ressonancia magnetica cranio: guia completo com dicas e técnicas essenciais para resultados eficientes
Agora que você entende a importância de ressonancia magnetica cranio, vamos explorar os diferentes tipos disponíveis para você.
Desvendando os Tipos de Ressonância Magnética Cranio: Um Guia
Entender os diferentes tipos de ressonância magnética cranio é crucial para obter o diagnóstico mais preciso. Cada tipo oferece informações específicas sobre o cérebro e suas estruturas. Este guia ajudará a compreender as diferenças entre eles, permitindo que você se sinta mais confiante e informado sobre o exame.
Ressonância Magnética Craniana Convencional: O Básico Essencial
A ressonância magnética craniana convencional é a mais utilizada para visualizar o cérebro e estruturas adjacentes. Ela oferece imagens detalhadas da anatomia, permitindo identificar tumores, aneurismas, hemorragias e outras anomalias. É um exame não invasivo e seguro, utilizando campos magnéticos e ondas de rádio para criar as imagens. A duração do exame pode variar, mas geralmente leva de 30 a 60 minutos. Quer descobrir o que está acontecendo? A ressonância convencional é o ponto de partida!
- Alta resolução para visualização anatômica
- Não utiliza radiação ionizante
- Disponível na maioria dos centros de imagem
- Pode requerer o uso de contraste em alguns casos
Ideal para: Investigação inicial de sintomas neurológicos, como dores de cabeça persistentes, tonturas ou alterações na visão.
Ressonância Magnética Craniana com Contraste: Detalhes Amplificados
A ressonância magnética craniana com contraste utiliza uma substância (geralmente à base de gadolínio) injetada na corrente sanguínea para realçar certas áreas do cérebro. Isso torna mais fácil identificar inflamações, infecções, tumores e outras condições que afetam a barreira hematoencefálica. Imagine conseguir ver detalhes que passariam despercebidos! O contraste ajuda a diferenciar tecidos saudáveis de tecidos doentes, fornecendo informações cruciais para o diagnóstico e tratamento. Este exame é um divisor de águas para casos complexos.
- Realce de áreas com inflamação ou vascularização anormal
- Melhora a visualização de tumores e metástases
- Pode causar reações alérgicas em alguns pacientes
- Requer avaliação da função renal antes do exame
Ideal para: Diagnóstico de tumores cerebrais, esclerose múltipla, infecções e outras condições inflamatórias.
Angioressonância Craniana: Desvendando os Vasos Sanguíneos
A angioressonância craniana é um tipo específico de ressonância magnética que se concentra nos vasos sanguíneos do cérebro. Ela permite visualizar artérias e veias, identificando aneurismas, malformações arteriovenosas, tromboses e outras anomalias vasculares. Pense nisso como um mapa detalhado das estradas do seu cérebro! Este exame é fundamental para planejar cirurgias e tratamentos endovasculares. Se você precisa investigar problemas nos vasos sanguíneos, esta é a escolha certa.
- Visualização detalhada dos vasos sanguíneos intracranianos
- Não invasiva (em comparação com a angiografia tradicional)
- Pode ser realizada com ou sem contraste
- Útil no planejamento de cirurgias vasculares
Ideal para: Avaliação de aneurismas cerebrais, malformações arteriovenosas e outras doenças vasculares.
Ressonância Magnética de Perfusão: Entendendo o Fluxo Sanguíneo Cerebral
A ressonância magnética de perfusão avalia o fluxo sanguíneo no cérebro. Ela pode detectar áreas com irrigação inadequada, o que é útil para diagnosticar acidentes vasculares cerebrais (AVCs), tumores e outras condições que afetam a circulação cerebral. Já imaginou poder ver o sangue fluindo no seu cérebro em tempo real? Este exame fornece informações valiosas sobre a saúde do tecido cerebral e ajuda a guiar o tratamento. É uma ferramenta poderosa para proteger seu cérebro.
- Avalia o fluxo sanguíneo cerebral
- Detecta áreas com isquemia ou hipoperfusão
- Útil no diagnóstico de AVC e tumores
- Requer o uso de contraste
Ideal para: Diagnóstico precoce de AVC, avaliação de tumores cerebrais e monitoramento da circulação cerebral em pacientes com risco de isquemia.
Conhecendo os diferentes tipos de ressonancia magnetica cranio, vamos ver os benefícios específicos que eles podem trazer para sua vida.
Descubra os Benefícios da Ressonância Magnética Cranio
Agora que você já conhece os diferentes tipos de ressonância magnética cranio, é hora de descobrir os benefícios que esse exame pode trazer para sua saúde. Com imagens detalhadas e precisas, a ressonância magnética cranio oferece uma visão completa do seu cérebro, auxiliando no diagnóstico e tratamento de diversas condições neurológicas. Descubra como!

Principais benefícios de ressonancia magnetica cranio ilustrados: vantagens comprovadas e resultados transformadores
Diagnóstico Precoce e Ações Rápidas Para Sua Saúde
A ressonância magnética cranio permite identificar problemas em estágios iniciais, como tumores pequenos ou aneurismas. Com um diagnóstico precoce, você pode iniciar o tratamento rapidamente, aumentando significativamente as chances de sucesso e recuperação plena. Não espere os sintomas se agravarem!
Estudos mostram que a detecção precoce de tumores cerebrais aumenta a taxa de sobrevivência em até 80%.
Visualização Detalhada Sem Radiação: Segurança Para Você
Ao contrário de exames como a tomografia computadorizada, a ressonância magnética cranio não utiliza radiação ionizante. Isso significa que você pode realizar o exame com segurança, sem se preocupar com os efeitos nocivos da radiação. É uma opção mais segura, especialmente para crianças e mulheres grávidas.
A ressonância magnética utiliza campos magnéticos e ondas de rádio, eliminando os riscos associados à radiação.
Planejamento Cirúrgico Preciso e Personalizado
A ressonância magnética cranio fornece imagens detalhadas que auxiliam os cirurgiões no planejamento de procedimentos. Com essas informações, é possível realizar cirurgias mais precisas, minimizando os riscos e maximizando os resultados. Isso significa menos tempo de recuperação e maior qualidade de vida para você.
Cirurgiões relatam maior precisão e segurança em cirurgias cerebrais quando utilizam imagens de ressonância magnética no planejamento.
Acompanhamento Eficaz de Doenças Neurológicas
Se você já possui uma doença neurológica, como esclerose múltipla ou Alzheimer, a ressonância magnética cranio é uma ferramenta essencial para monitorar a progressão da doença e avaliar a eficácia do tratamento. Com exames regulares, seu médico pode ajustar o plano de tratamento conforme necessário, garantindo o melhor cuidado possível.
A ressonância magnética permite visualizar as alterações no cérebro ao longo do tempo, auxiliando no acompanhamento de doenças neurológicas.
Identificação de Problemas que Outros Exames Não Veem
A ressonância magnética cranio é capaz de detectar alterações sutis no cérebro que podem passar despercebidas em outros exames de imagem. Isso é especialmente útil para diagnosticar condições como pequenas lesões cerebrais, inflamações ou alterações nos vasos sanguíneos. Não deixe que um problema escape da detecção!
A alta resolução da ressonância magnética permite visualizar estruturas cerebrais com detalhes que outros exames não conseguem.
Com todos esses benefícios em mente, é hora de aprender exatamente como implementar ressonancia magnetica cranio em sua rotina.
Como Fazer Uma Ressonância Magnética do Crânio
Quer saber como funciona uma ressonância magnética do crânio? Este guia te mostrará o passo a passo, desde a consulta com o médico até a interpretação dos resultados. É um processo simples, que leva alguns dias, e não exige nenhum conhecimento prévio.
Um Guia Passo a Passo Para Iniciantes
1. Consulte seu Médico e Obtenha o Pedido
Primeiramente, converse com seu médico. Ele vai avaliar se a ressonância magnética do crânio é realmente necessária para o seu caso. Ele vai te dar o pedido do exame, que é essencial para agendar o procedimento.
Dicas:
- Anote todas as suas dúvidas para perguntar ao médico durante a consulta.
- Informe ao médico sobre qualquer alergia ou condição de saúde preexistente.
2. Agende Seu Exame em uma Clínica de Confiança
Agora, com o pedido em mãos, agende seu exame em uma clínica ou hospital que realize ressonância magnética. Verifique se o local atende seu plano de saúde, caso possua um. Agende com antecedência para garantir o melhor horário para você.
Dicas:
- Pesquise sobre a reputação da clínica antes de agendar.
- Confirme se a clínica possui equipamentos modernos e equipe qualificada.
3. Prepare-se Adequadamente Para o Dia do Exame
No dia do exame, use roupas confortáveis e evite peças com metal, como zíperes e botões. Deixe em casa objetos metálicos como joias, relógios e piercings, pois eles podem interferir no resultado do exame e precisarão ser removidos.
Dicas:
- Se você tiver tatuagens recentes, avise o técnico antes do exame.
- Informe ao técnico sobre qualquer implante metálico que você possa ter.
4. Mantenha-se Calmo e Imóvel Durante o Exame
Durante o exame, você se deitará em uma maca que desliza para dentro do aparelho de ressonância magnética. É importante permanecer imóvel durante todo o procedimento, pois qualquer movimento pode prejudicar as imagens. O técnico te dará instruções claras e estará em contato com você o tempo todo.
Dicas:
- Se você sentir claustrofobia, avise o técnico antes do exame. Ele poderá te ajudar a relaxar.
- Você poderá usar fones de ouvido para ouvir música e se distrair durante o exame.
5. Retome Suas Atividades e Aguarde o Resultado
Após o exame, você estará liberado para retomar suas atividades normais. As imagens da ressonância serão analisadas por um radiologista, que irá elaborar um laudo. O resultado estará disponível em alguns dias, dependendo da clínica.
Dicas:
- Pergunte à clínica sobre o prazo para entrega do resultado.
- Verifique se o resultado pode ser acessado online.
6. Retorne ao Seu Médico Para Avaliar o Resultado
Por fim, leve o resultado do exame ao seu médico para que ele possa interpretá-lo e te explicar o que significam as imagens. Ele irá te orientar sobre os próximos passos, como tratamento ou acompanhamento, se necessário.
Dicas:
- Anote todas as suas dúvidas sobre o resultado para perguntar ao médico.
- Siga as orientações do médico para garantir o melhor tratamento para o seu caso.
Agora que você sabe como usar ressonancia magnetica cranio efetivamente, vamos comparar as principais opções para ajudar na sua decisão.
Ressonancia Magnetica Cranio: Qual Exame Escolher?
Escolher o exame de ressonância magnética cranio certo pode parecer complicado, mas não precisa ser! Vamos comparar diferentes tipos de exames, considerando o tempo de duração, o nível de detalhe das imagens e o custo. Esta comparação é perfeita para pacientes, familiares e até profissionais da saúde que buscam entender melhor as opções disponíveis e tomar decisões mais informadas.
| Tipo de RM | Duração Média | Nível de Detalhe | Custo Estimado | Melhor Para: | |
|---|---|---|---|---|---|
| RM Cranio Padrão | RM Cranio Padrão | 30-60 minutos | Bom – Visualiza estruturas principais | R$ 800 – R$ 1500 | Diagnóstico geral, investigação inicial |
| RM Cranio com Contraste | RM Cranio com Contraste | 45-75 minutos | Excelente – Realça inflamações e tumores | R$ 1200 – R$ 2000 | Suspeita de tumores, infecções ou inflamações |
| Angio-RM Cranio | Angio-RM Cranio | 40-70 minutos | Ótimo – Visualiza vasos sanguíneos | R$ 1000 – R$ 1800 | Investigação de aneurismas e malformações vasculares |
Ainda tem dúvidas sobre ressonancia magnetica cranio? Vamos responder às perguntas mais comuns.
Perguntas Frequentes Sobre Ressonância Magnética Cranio
Você já se perguntou sobre a ressonância magnética do crânio? É um exame super útil para os médicos verem o que está acontecendo dentro da sua cabeça. Vamos responder algumas perguntas frequentes para você entender tudo direitinho!
O que é uma ressonância magnética do crânio e para que serve?
A ressonância magnética do crânio é como tirar uma foto muito detalhada do seu cérebro e das estruturas ao redor. Sabe quando você usa um aplicativo para tirar fotos com filtros diferentes? A ressonância usa ondas de rádio e um campo magnético forte para criar imagens que ajudam os médicos a encontrar problemas, como tumores ou inflamações.
Preciso ficar imóvel durante a ressonância magnética do crânio?
Sim, você precisa ficar bem quietinho durante o exame de ressonância magnética do crânio. É como quando você está tirando uma selfie, sabe? Se você se mexer muito, a foto sai borrada. O técnico vai te ajudar a ficar confortável para que as imagens fiquem nítidas e o médico possa ver tudo direitinho.
Quanto tempo demora uma ressonância magnética do crânio?
O exame de ressonância magnética do crânio geralmente leva de 30 minutos a uma hora. Pense nisso como assistir a um episódio do seu programa favorito na TV. Alguns exames podem demorar um pouco mais se o médico precisar de imagens mais detalhadas. Mas não se preocupe, você estará confortável e seguro durante todo o tempo!
É perigoso ter metal no corpo durante a ressonância magnética do crânio?
Sim, é importante avisar se você tem alguma coisa de metal no corpo antes de fazer a ressonância magnética do crânio. Sabe aqueles brinquedos que grudam em imãs? Alguns objetos de metal podem interferir no exame. Se você tiver alguma dúvida, converse com o técnico antes do exame para garantir que tudo corra bem.
Como é o ambiente durante o exame de ressonância magnética do crânio?
Durante a ressonância magnética do crânio, você vai deitar em uma maca que entra em um tubo grande. Pode ser um pouco barulhento, como se estivesse dentro de uma máquina de lavar roupa. Mas não se preocupe, você pode usar fones de ouvido para ouvir música e relaxar. A equipe estará sempre por perto para te ajudar se precisar de alguma coisa.
O que acontece depois da ressonância magnética do crânio?
Após a ressonância magnética do crânio, você pode voltar às suas atividades normais. É como depois de fazer um exame na escola, sabe? Você não precisa de nenhum cuidado especial. O médico radiologista vai analisar as imagens e enviar os resultados para o seu médico, que vai te explicar tudo direitinho.
Com todas essas informações em mãos, vamos concluir com os próximos passos para você começar com ressonancia magnetica cranio hoje mesmo.
Ressonância Magnética Cranio: Seu Próximo Passo?
Chegamos ao fim da nossa jornada sobre a ressonância magnética cranio. Você viu os diferentes tipos, os benefícios incríveis para a sua saúde e como o exame é feito. Viu também que escolher o exame certo e entender o que esperar pode fazer toda a diferença. Agora, que tal colocar esse conhecimento em prática?
Primeiro, converse com seu médico sobre qualquer preocupação que você tenha. Depois, se precisar fazer o exame, siga as instruções com atenção e tire todas as suas dúvidas. E lembre-se, o diagnóstico precoce é seu maior aliado. Com a ressonância magnética cranio, você está no controle da sua saúde cerebral. Não perca tempo e cuide-se!



